歯茎の色|横浜市泉区の歯医者|一般歯科・小児歯科|ルーエ歯科クリニック

〒245-0003横浜市泉区岡津町597-7

045-410-9888

お知らせ 診療時間
求人情報
WEB予約
外観イメージ

歯茎の色

歯茎の色|横浜市泉区の歯医者|一般歯科・小児歯科|ルーエ歯科クリニック

2024年11月15日

歯茎の色

おはようございます!

院長の前原です。だんだんと寒さが増してきましたね。ここ最近身の回りで体調を崩してる方が多いので、体調管理をしっかりしようと改めて感じました。

話は変わりますが、先日、歯茎の色が気になるということで来院した患者さんがいらっしゃいました。

メラニンが沈着して、黒ずんでしまったようです。

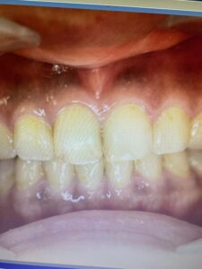
初診時の写真(複製で吸すいません)

上下ともメラニン沈着がみられますね。

当院ではガムピーリングという、メラニンをおとして、きれいな歯茎にする施術を行っております。

施術直後(2,3日はメラニンを浮き上がらせるので白くなります)

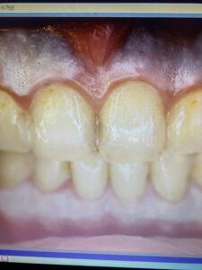
施術1週間後(白い上皮は剥がれ、きれいな歯茎になりました)

施術後2,3日は歯茎がピリピリするのですが、血行のよい健康的な歯茎になったと喜んでいただきました。

私もガムピーリングを受けたことあるのですが、笑った時に歯茎が綺麗だといいですよね(笑)

ではでは、今日はこのへんで

 

TOP