2023年10月27日



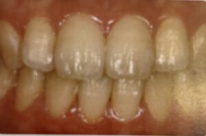
こんにちは!歯科衛生士の志賀です。マスクを外せるようになってから、ホワイトニングをされる患者様がふえてきました☺笑った時に見える白い歯っていいですよね!ルーエ歯科では、Tionを使用しています。オフィスホワイトニングでは歯面清掃を行い、歯肉の保護をしてから、ホワイトニングジェルを塗布し光の照射をします。ジェルの塗布と照射を三回繰り返し、最後にフッ素塗布をするという流れになっています。2時間半から3時間のお時間がかかります。


このように、明らかに変化を感じられることが多いので、患者様には喜んでいただいております。(効果には個人差があります)2回行うことでより白くなることが多いです。
価格・・・オフィスホワイトニング 33,000円 2週間以内に2回目を行う場合は2回目は半額になります。
注意事項などもございますので、ご興味のある方は、聞いてくださいね!!